
В Италии девушка обратилась к врачам с жалобами на волосы, растущие на деснах. О необычной пациентке врачи рассказали в статье в журнале Oral Surgery, Oral Medicine, Oral Pathology, Oral Radiology.
Впервые девушка пришла к врачам в 2009 году, в то время у нее на небе росли несколько волосков, похожих на ресницы.
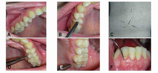
Изучив научную литературу, врачи нашли всего пять таких случаев, все они наблюдались у мужчин. Из-за редкости заболевания установить его причину оказалось сложно. У пациентки оказался синдром поликистозных яичников, который часто сопряжен с избытком волос на лице и теле. Вряд ли он вызвал рост волос на слизистой рта, но наверняка подстегнул это состояние, решили врачи. Они удалили волосы хирургически, а девушке назначили гормональные препараты.Это помогло на какое-то время, однако спустя годы пациентка забросила лечение, и волосы появились вновь. Теперь их стало больше. На этот раз врачи не только их удалили, но и взяли образцы тканей десен для анализа. Они не берутся сказать наверняка, но подозревают, что все дело в формировании тканей в период развития эмбриона. Слизистая рта в это время мало чем отличается от остальной кожи, и, теоретически, там тоже могут образоваться волосяные фолликулы.
Врачи не сообщают, начала ли пациентка вновь принимать лекарства. Также неясно, влияет ли ее аномалия на здоровье и приносит ли какой-либо дискомофорт.
Свежие комментарии