
Российский пауэрлифтер Ярослав Радашкевич сомневается, что сможет продолжить спортивную карьеру после переломов ног.
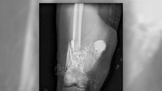
Атлет получил тяжелые травмы на чемпионате Евразии. Во время приседа Радашкевич не смог справиться со штангой весом 250 кг. Его доставили в больницу с переломом голени, а также с закрытым перелом двух берцовых костей на ноге.
Пауэрлифтер заявил, что был уверен в успешном выполнении упражнения и не обратил внимание на боли в голени.
"Думал, что у меня связка потянута, поэтому внимания не обращал. Пил обезболивающее, продолжал тренироваться", — цитирует Радашкевича "Амурская служба новостей".
Спортсмен отметил, что вряд ли сумеет вернуться в спорт после реабилитации, которая займет почти шесть месяцев.
Свежие комментарии