
Российский комментатор Юрий Розанов рассказал о борьбе с раком.
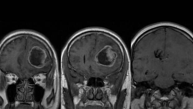
Диагноз журналисту поставили больше года назад. Розанов заявил, что у него искали инсульт, однако после обследования выяснилось, что у него онкология.
Комментатор согласился с мнением, что лечение начинается с психологии.
"Не могу сказать, что совершенно не волнуюсь из-за болезни.
Это будет неправдой. Но так, чтобы это пожирало все мои мысли... Чувствую, что в этом есть какая-то гадость — в том, если ты будешь постоянно беспокоиться. Освободить мозги намного полезнее", — сказал Розанов в интервью "Матч ТВ".Ранее сообщалось, что от рака костей умер 18-летний вратарь системы "Барыса" и юниорской сборной Казахстана Вилен Прокофьев.
Свежие комментарии