
Врачи Долгопрудненской больницы спасли 34-летнего мужчину, у которого сосуды от плеча до шеи закупорил гигантский тромб. Об этом сообщили в пресс-службе Минздрава Московской области.
Пациент при поступлении в медицинское учреждение жаловался на полное онемение левой руки, боль в области плеча и шеи, слабость, "вспышки в глазах".
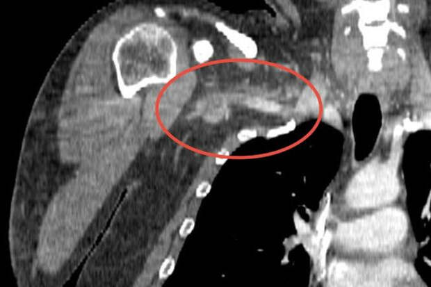
Во время диагностики медики установили, что в части сосудов у мужчины полностью отсутствует кровоток.
"Причиной артериального тромбоза оказался огромный 25-сантиметровый сгусток тромболитической массы, закупоривший сосуды от плеча до шеи. В ходе 1,5-часовой операции мы удалили тромб с помощью специального баллона, который, расправившись, контролируемо продвинул сгусток далее по сосуду к разрезу в районе локтевого сгиба. Там мы зацепили его специальным крючком и благополучно извлекли", - поделился сосудистый хирург больницы Михаил Пырля.
Врач отметил, что в случае бездействия мужчина мог лишиться конечности. А в случае попадания части тромба в мозг последствия могли быть непоправимыми.
По словам медиков, подобная патология обычно возникает у людей пожилого возраста. Ее причиной хирург назвал генетические особенности, неправильное питание, нарушение метаболизма и избыточную массу тела.
Свежие комментарии