
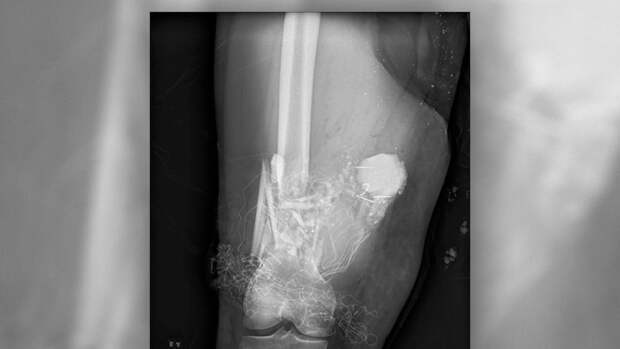
Российский пауэрлифтер Ярослав Радашкевич получил переломы обеих ног на чемпионате Евразии, сообщается на странице Амурской службы новостей ВКонтакте.
Спортсмен получил тяжелые травмы во время приседа со штангой весом в 250 килограммов. Пауэрлифтер был доставлен в больницу с переломом голени, а также с закрытым перелом двух берцовых костей на ноге.
Радашкевич является чемпионом Открытого национального Кубка по пауэрлифтингу, жиму и тяге, а также Открытого Кубка Азии.
Ранее пауэрлифтер и штангист Михаил Кокляев опубликовал в инстаграме видео с тренировки, где показал форму и скорость удара.
Свежие комментарии