
Следственный комитет России начал проверку после смерти мужчины, которого госпитализировали из СИЗО Новочеркасска в Ростовской области с ручкой в голов. Об этом сообщает ТАСС со ссылкой на представителя СУСК России по региону.
Согласно информации областного ГУФСИН, 5 февраля 37-летний мужчина получил травму на территории исправительной колонии, где он содержался.
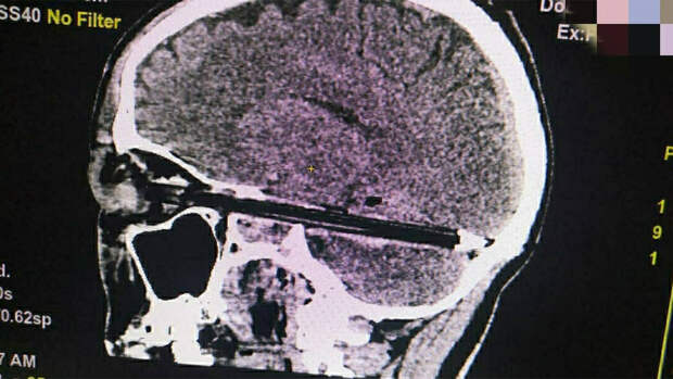
Обвиняемый заявил, что травмировал он себя сам, в состоянии нервного срыва.Впоследствии его экстренно госпитализировали с шариковой ручкой в голове. Ручка повредила ему глаз и вошла в мозг на весь диаметр полости черепа, при этом она прошла в миллиметре от важнейших сосудов и ствола головного мозга. Врачи прооперировали пострадавшего, после чего он был переведен в реанимацию. Во вторник, 9 февраля, стало известно, что пациент скончался.
Свежие комментарии