
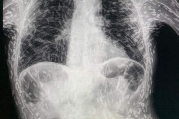
Врач из Бразилии опубликовал в соцсетях рентгеновский снимок мужчины, болеющего цистицеркозом, пишет Oddity Central. На кадре видно, что практически все тело мужчины заполнено яйцами ленточного червя.
Доктор Витор Борин де Соуза опубликовал рентгеновский снимок пациента, чтобы показать своим подписчикам, насколько опасна инфекция ленточного червя.
Врач добавил, что белые пятна, которые можно увидеть на фото, - яйца паразита. К счастью, мужчине, пришедшему на осмотр из-за непрекращающегося кашля, яйца не представляли опасности, так как все они были кальцифицированы [нежизнеспособны]."Если это не вызывает никакого дискомфорта, жизнь продолжается", - добавил медик.
Исследования показали, что массивный цистицеркоз, как случай, показанный на рентгеновском снимке, возникает у пациентов с ослабленным иммунитетом, которые имеют более уязвимую иммунную систему.
Ранее ИИ научили оценивать риск сердечного приступа по рентгеновскому снимку.
Свежие комментарии