
Врачи Детского центра имени Рошаля спасли 15-летнего подростка, удалив ему объемное новообразование в мозге. Об этом сообщили в пресс-службе медицинского учреждения.
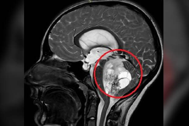
По словам медиков, юноша жаловался на постоянную тошноту и рвоту, которые не удавалось купировать консервативными методами. На обследовании специалисты обнаружили пятисантиметровую опухоль в задней черепной ямке.
По словам врачей, ее дальнейший рост мог привести к нарушению жизненно важных функций мальчика."Сложность данного случая заключалась в том, что опухоль росла из области, которая отвечает за жизненно важные функции - любое, даже маленькое повреждение могли привести к тяжелым неврологическим осложнениям", - отметили нейрохирурги.
Мальчика положили на операцию, которая прошла успешно. Сейчас юноша чувствует себя хорошо, его выписали домой.
Свежие комментарии