
В Хабаровском крае медики прооперировали местную жительницу, которую придавило четырехтонной бетонной плитой. Об этом сообщает пресс-служба регионального Минздрава.
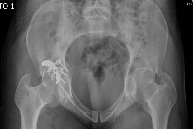
Жительница Хабаровска получила травму на производстве, на нее упала бетонная плита весом четыре тонны. Пострадавшая получила сложный перелом тазовых костей, переломы обеих ключиц и голени.
Хирурги-травматологи прооперировали россиянку, успешно соединили и скрепили поврежденные кости специальными креплениями. Женщина находится под наблюдением медиков и восстанавливается после хирургического вмешательства.
До этого сообщалось, что российские врачи удлинили подростку ногу на 15 см и спасли ее от ампутации. 15-летняя пациентка к моменту обращения за помощью в клинику Самарского государственного медицинского университета перенесла десять различных операций, разница в длине ног у подростка составляла 17 сантиметров. Чтобы скорректировать состояние школьницы, медики провели ей два удлинения конечности с помощью методики Илизарова на аппарате внешней фиксации.
Свежие комментарии