
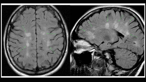
Рассеянный склероз – постоянно прогрессирующее хроническое заболевание, поражающее центральную нервную систему. Заболевание занимает третье место среди заболеваний центральной нервной системы. Кто наиболее подвержен этой болезни какие есть способы лечения, "Газете.Ru" рассказала врач-невролог, врач по лечебной физкультуре, врач-реабилитолог, АО "Медицина" (клиника академика Ройтберга) Анна Терехова.
По словам Тереховой, около 3 миллионов человек на Земле страдают от рассеянного склероза, основная масса пациентов с подтвержденным диагнозом – люди молодого возраста. Также врач отмечает, что развития рассеянного склероза у женщин выше в два раза, чем у мужчин.
"Пусковым механизмом для развития рассеянного склероза могут быть: бактериальные или вирусные церебральные инфекции, влияние токсических веществ, а также радиация, стресс, генетическая предрасположенность", - констатировала невролог.
Так как рассеянный склероз является прогрессирующим заболеванием, качество жизни пациента снижается постепенно. Существуют разные типы течения рассеянного склероза, с разной скоростью прогрессирования заболевания, подчеркивает Терехова.
"До 37% пациентов через 10 лет после начала заболевания могут передвигаться только с посторонней помощью. Через 15 лет доля таких людей возрастает до 50%. Через 10 лет после развития РС 50% пациентов испытывают сложности с выполнением профессиональных обязанностей, а более 80% не могут оставаться на прежней работе", - заявила она.
Среди основных клинических проявлений рассеянного склероза врачи выделяют: двигательные нарушения, головокружение, нарушение координации, онемение конечностей, нарушения речи, нарушение зрения, снижение когнитивных функций.
Выявление рассеянного склероза на ранней стадии позволяет замедлить прогрессирование заболевания и предотвратить раннюю инвалидизацию больных, добавляет невролог. Лечение включает медикаментозную и физиотерапевтическую терапии, а также и программы индивидуальной нейрореабилитации.
Ранее "Газета.Ru" писала о том, могут ли мобильники вызвать болезнь Альцгеймера.
Свежие комментарии