
Белок крови гаптоглобин и его форму зонулин можно использовать в качестве биомаркеров для диагностики агрессивной опухоли мозга глиобластoмы, выяснили специалисты из НИЦ "Курчатовский институт" - ПИЯФ и Института биомедицинской химии им. Ореховича. Об этом "Газете.Ru" сообщили в пресс-службе Курчатовского института.
"Общий уровень гаптоглобина может быть использован как неспецифический параметр присутствия глиобластoмы - он повышается не только при опухолях, а в целом при наличии какой-то острой фазы заболевания. В случае опухоли уровень несколько выше, но это не позволяет делать однозначные выводы о наличии глиобластoмы. На ее присутствие более надежно указывает наличие в плазме зонулина, который в норме присутствует в ней в неопределяемых концентрациях" - рассказал "Газете.Ru" ведущий научный сотрудник Отделения молекулярной и радиационной биофизики НИЦ "Курчатовский институт" - ПИЯФ, д.б.н. Станислав Нарыжный.
Исследователи проанализировали существующие работы, посвященные возможности использования гаптоглобина в качестве биомаркера, а также изучили уровни гаптоглобина и зонулина в плазме крови здоровых людей и пациентов с глиобластoмой.
Гаптоглобин относится к острофазным белкам - тем, которые в большом количестве вырабатываются при инфекциях, травмах, ноовообразованиях и других поражениях организма. Он присутствует в плазме крови практически всегда, а в высоких концентрациях указывает на патологические процессы. Зонулин же, из которого образуется гаптоглобин, вырабатывается в том числе клетками самой глиобластoмы.
Он способен проходить через гематоэнцефалический барьер, отделяющий нервную систему от кровеносной, что и позволяет обнаруживать его в крови и использовать как диагностический показатель.Ученые рассчитывают, что полученные данные позволят использовать гаптоглобин и зонулин в качестве биомаркеров глиобластoмы.
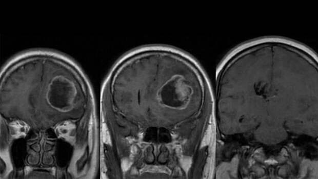
Мультиформная глиобластoма - наиболее злокачественная первичная опухоль головного мозга, на которую приходится до 52% первичных опухолей мозга и до 20% всех внутричерепных опухолей. Она способна привести к гибели пациента в течение двух лет даже при необходимом лечении, а без него - в течение трех месяцев. Поэтому важно выявить заболевание как можно раньше, еще до появления внешних признаков.
Свежие комментарии