
В Казани врачи вытащили из 19-летней пациентки клубок червей, которые ели ее печень. Об этом сообщает Telegram-канал Mash Iptash.
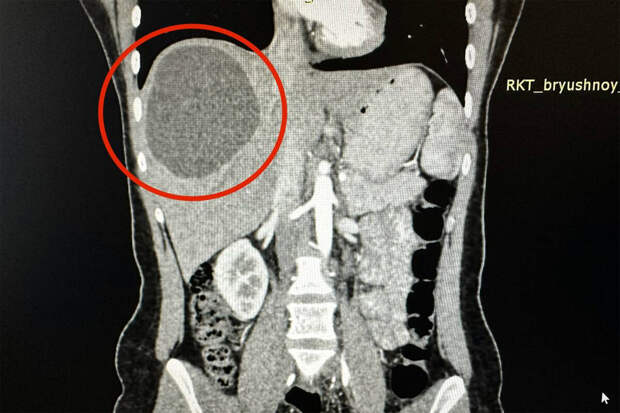
По информации Telegram-канала, девушка обратилась в Республиканскую клиническую больницу и пожаловалась на сильную боль в области живота. Врачи обследовали пациентку и обнаружили скрутившихся в кисту размером 15 на 20 сантиметров паразитов в ее печени.
Сначала медики назначили россиянке химиотерапию, а через три месяца провели операцию по удалению клубка червей. Оказалось, что паразиты значительно "подъели" печень девушки. Вместе с ними пришлось удалить почти треть органа.
До этого в Подмосковье врачи удалили у 53-летний пациентки 20-сантиметровую кисту яичника. Женщина также периодическим жаловалась на боли в животе.
Свежие комментарии