
Врачи Российской детской клинической больницы Минздрава России прооперировали пятилетнюю девочку из Уфы с гигантской опухолью в грудной клетке. Об этом сообщили в пресс-службе больницы.
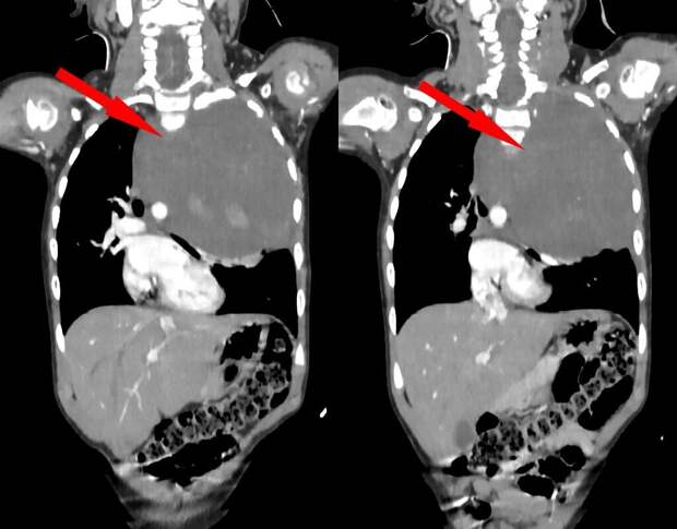
Родители показали дочь врачам, когда заметили у нее небольшую припухлость в области шеи. Специалисты по месту жительства выявили огромное новообразование размером со страусиное яйцо, которое сдавливало сердце и легкое.
Сквозь ткань опухоли проходили крупные сосуды: "позвоночная артерия, питающая головной мозг, и подключичная артерия с ее ветвями, питающая левую руку". После телемедицинской консультации ребенка направили в Москву.Столичные специалисты провели биопсию образования и установили, что оно доброкачественное. Тем не менее медики решили удалить опухоль, поскольку она "могла содержать злокачественные оттенки".
"Учитывая гигантский размер опухоли и ее расположение вблизи множества жизненно важных структур, мы использовали расширенный доступ по типу "раковины моллюска". Он предполагает рассечение не только межреберного промежутка, но и самой грудины, что позволяет "раскрыть" грудную клетку, как раковину", - рассказал заведующий отделением реконструктивной и восстановительной хирургии грудной полости РДКБ, к.м.н. Евгений Андреев об операции.
Специалист отметил, что благодаря слаженной и кропотливой работе медикам удалось удалить новообразование единым блоком, не нарушив целостность.
"По результатам контрольного гистологического исследования всего объема опухоли были обнаружены злокачественные клетки и установлен точный диагноз — ганглионейробластома", - поделились в пресс-службе.
После восстановления от операции девочка прошла курс химиотерапии по месту жительства.
Свежие комментарии