
Специалисты Санкт-Петербургского политехнического университета Петра Великого (СПбПУ) разработали самую точную нейросеть для определения COVID-19 по рентгеновским и КТ снимках легких. Установлено, что точность нейросети составляет 99,23%, об этом "Газете.Ru" рассказали в СПбПУ.
Сегодня ПЦР – стандарт диагностики заболевания, однако процедура анализа имеет несколько минусов.
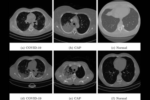
Во-первых, она занимает 4-6 часов времени до получения результатов. Во-вторых, есть риск получения ложноотрицательных результатов, особенно на ранних стадиях заболевания. Поэтому продолжаются поиски ранней диагностики заболевания.Визуализация легких с помощью рентгена или КТ – хорошее дополнение к ПЦР-тесту. Кроме того, эти процедуры помогают исключить ассоциированную с коронавирусом пневмонию. Однако интерпретация результатов рентгенографии или КТ-снимка требует высокого внимания высококвалифицированных специалистов.
Чтобы облегчить процесс интерпретации изображений, исследователи петербургского Политеха создали нейросеть, выявляющую признаки ковид-ассоциированной пневмонии на основе изображений компьютерной томографии.
"Наша модель позволяет быстро и точно определить наличие COVID-19 или других видов пневмонии на КТ-снимках легких. Это может помочь врачам быстрее и точнее ставить диагнозы, что позволит снизить нагрузку на медицинский персонал. От аналогов наша программа отличается, прежде всего, улучшенной точностью интерпретации", – рассказал "Газете.Ru" один из разработчиков нейросети, инженер Научно-технологического комплекса "Математическое моделирование и интеллектуальные системы управления" Научного центра мирового уровня "Передовые цифровые технологии" СПбПУ Диб Али.
Для обучения нейросети ученые воспользовались набором срезов компьютерной томографии COVID-19, полученных в разных странах. Он содержит более 7500 снимков легких, пораженных ассоциированной с коронавирусом пневмонией, более 2500 снимков легких с внебольничной пневмонией и почти 7000 снимков здоровых легких.Результаты четырехкратной перекрестной проверки новой нейросети доказали ее точность и эффективность. По словам исследователь, модель имеет большой потенциал для точной и быстрой диагностики COVID-19 с использованием изображений компьютерной томографии.
Свежие комментарии