
Ученые выяснили, как лекарства на основе интерферона помогают против рассеянного склероза. Об этом сообщает ТАСС.
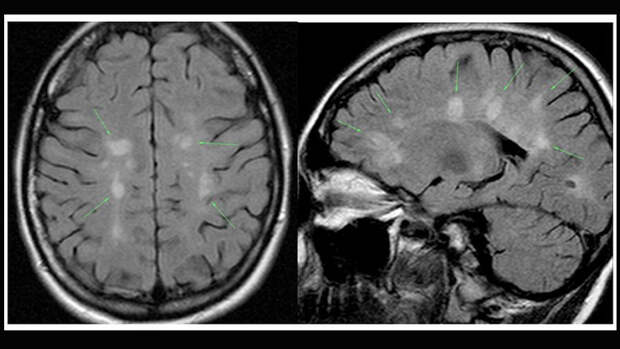
Рассеянный склероз поражает нервную систему, головной и спинной мозг. При этом аутоиммунном заболевании иммунная система начинает бороться с оболочкой нервных волокон - миелином. Из-за этого функция нервов ухудшается, и начинаются проблемы со связью между мозгом и телом.
Среди симптомов обычно выделяют онемение или слабость в руках и ногах, ощущение электрического тока в районе шеи, нарушение координации, размытое и раздвоенное зрение. Для лечения этой болезни применяют интерфероны - природные противовирусные белки, но ученым не до конца ясно, как именно они помогают от склероза.Теперь исследователи провели опыты на образцах крови и клетках здоровых и заболевших добровольцев. Оказалось, что молекулы интерферонов не подавляли активность иммунных клеток и не взаимодействовали со вспомогательными клетками нервной системы напрямую. Вместо этого они прикреплялись к поверхности эритроцитов и мешали им взаимодействовать с двумя белками - C-пептидом и альбумином.
В результате этого в крови падала концентрация оксида азота. Азот играет значительную роль в развитии этой болезни, поскольку мешает работе клеток, производящих миелин. Блокировка транспортировки этого газа приводит к возобновлению их работы.
Ранее медики нашли высокоэфективный способ лечения хронического ринита.
Свежие комментарии