
Мужчина, ранее госпитализированный в ростовскую больницу с шариковой ручкой в голове, скончался после успешной операции по ее извлечению. Об этом сообщает РИА "Новости" со ссылкой на региональное управление Федеральной службы исполнения наказаний (ФСИН).
Как рассказали в ведомстве, мужчина был доставлен в больницу из следственного изолятора.
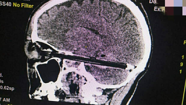
При этом пострадавший рассказывал, что повреждения нанес себе самостоятельно во время нервного срыва.Ранее сообщалось, что в Ростове-на-Дону был экстренно госпитализирован мужчина с шариковой ручкой в мозгу. Ручка повредила ему глаз и вошла в мозг на весь диаметр полости черепа, при этом она прошла в миллиметре от важнейших сосудов и ствола головного мозга. Врачи прооперировали пострадавшего, после чего он был переведен в реанимацию.
Свежие комментарии