
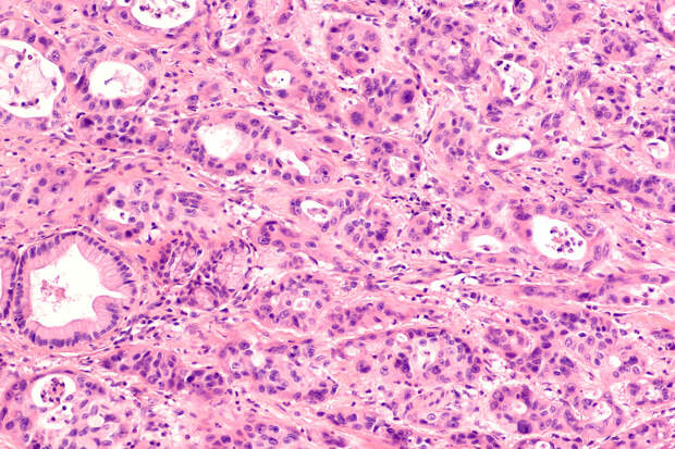
Американские ученые из Калифорнийского университета в Сан-Франциско обнаружили ключевой механизм, позволяющий раковым клеткам поджелудочной железы выживать в разных органах. Открытие может привести к новым методам лечения этого агрессивного типа рака. Исследование опубликовано в научном журнале Nature.
Команда выяснила, что белок белок PCSK9 играет решающую роль в способности раковых клеток метастазировать. В печени, где много холестерина, клетки с низким уровнем PCSK9 поглощают его из окружающей среды. В легких, где холестерина мало, клетки с высоким уровнем PCSK9 вырабатывают его сами и защищаются от кислородного повреждения.
Эксперименты показали, что искусственное повышение уровня PCSK9 заставляет "печеночные" раковые клетки мигрировать в легкие.
"Это открывает новые возможности для терапии, направленной на механизмы усвоения холестерина раковыми клетками", — пояснил доктор Рушика Перера, ведущий автор исследования.
Рак поджелудочной железы особенно опасен именно из-за раннего метастазирования. Новое понимание его механизмов может помочь разработать методы предотвращения распространения опухоли.
Свежие комментарии