
Американские исследователи обнаружили новый тип шизофрении, об этом сообщает Medical Xpress.
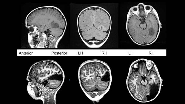
Так, у человека с обычной шизофренией наблюдается меньше мозговой ткани, чем у здорового человека. Новый же тип не влияет на объемы серого вещества, они остаются схожими с нормальным мозгом.
Заключение было сделано на основе анализа мозга у 300 пациентов с данным заболеванием.
Профессор радиологии Уоллеса Т. Миллера в Медицинской школе Перельмана в Университете Пенсильвании Кристос Даватцикос заявил, что теперь врачи будут разделять диагноз "шизофрения" на "подтип" и "патологический паттерн" заболевания.
Отмечается, что данное открытие позволит более качественно подходить к лечению психических расстройств.
НОВОСТИ ПО ТЕМЕ:
Свежие комментарии