
Врачи Детского центра имени Рошаля спасли годовалую девочку с запущенным отитом. Об этом сообщили в пресс-службе медицинского учреждения.
Ребенок поступил в больницу с отеком и покраснением заушной области, высокой температурой до 39°C. Также у пациентки из уха вытекал гной.
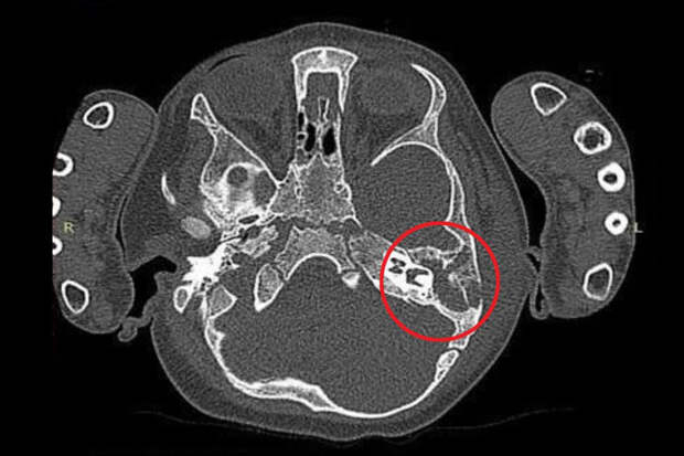
"Врачи Центра диагностировали тяжелое осложнение отита.
Гнойный воспалительный процесс уже перешел в мягкие ткани заушной области. Результаты компьютерной томографии подтвердили деструкцию костной стенки", - поделились в пресс-службе.Девочке провели экстренную операцию - сделали небольшой надрез, очистили полость от 3 мл гноя, а также от воспаленных тканей и установили дренаж. Медики заверили, что сейчас с пациенткой все хорошо, она уже дома.
Свежие комментарии