
Физики из ИТМО вместе с коллегами усовершенствовали геометрию диполей — устройств, создающих магнитное поле в аппарате МРТ. Это позволило увеличить напряженность последнего в центре на 20%. В результате повысилась четкость снимков, а размер самого аппарата и относительная простота его создания остались прежними.
Исследование выполнено при поддержке Президентской программы Российского научного фонда и опубликовано в журнале Magnetic Resonance in Medicine."Глобально наше открытие позволит разработать фазированные решетки для исследовательского МРТ и ускорить их внедрение в клиническую практику, — поясняет один из авторов статьи, аспирант ИТМО Георгий Соломаха, — Фазированные решетки позволяют охватывать гораздо большую область сканирования, а также лучше контролировать сам процесс. Интерпретация итогового результата становится проще и быстрее".
Магнитно-резонансная топография — метод в современной медицине настолько же важный, насколько и дорогой. Он позволяет исследовать внутренние органы человека неинвазивно (т.е. без непосредственного вскрытия) и практически не обладает ионизирующим воздействием по сравнению с рентгеновской томографией. Однако один аппарат стоит не меньше 15 миллионов рублей (не считая цены обслуживания) и занимает место, соизмеримое с небольшой кладовкой. При этом качество и точность изображений часто оставляют желать лучшего. В задачах клинического МРТ используются томографы с уровнем поля полтора и три тесла. Однако для задач, связанных с исследованиями, где требуется получить максимальное разрешение, используют томографы с уровнем поля семь и более тесла.
Сам принцип работы МРТ основан на взаимодействии радиочастотного магнитного поля с ядрами водорода. При этом, так как ядра атомов водорода в нашем теле представляют собой маленькие магниты, они ориентируются вдоль линий поля, поворачиваясь в одном направлении. Правда, такое положение энергетически невыгодно, и атомы возвращаются в свое "привычное" состояние так быстро, как только могут, выделяя при этом излишек энергии. Именно по ее количеству можно понять, много ли атомов определенного вещества находится в нужной ткани человека. Таким образом исследуется активность мозга — ведь чем больше крови (а значит, и воды с атомами водорода) в определенном участке, тем выше его активность. Также возможно обнаружить опухоли на ранних стадиях, поскольку пораженные клетки создают больше жидкости, чем обычные.
Для создания радиочастотного магнитного поля в томографах с уровнем поля больше семи тесла используют фазированные антенные решетки. Они обладают важным преимуществом: позволяют изменять локализацию предмета исследований, не двигая при этом саму решётку. В качестве элементов решетки могут быть применены дипольные антенны. Однако между активными диполями может появляться связь, которая снижает эффективность всей радиочастотной катушки. Чтобы это предотвратить, дополнительно используются пассивные диполи. Обычно их располагают параллельно активным, и это решает проблему. Но этот метод стоит использовать с осторожностью, поскольку слишком большие пассивные диполи взаимодействуют с полем, портя его однородность, что в итоге приводит к снижению качества итоговой картинки, а значит, и результатов всего медицинского обследования.
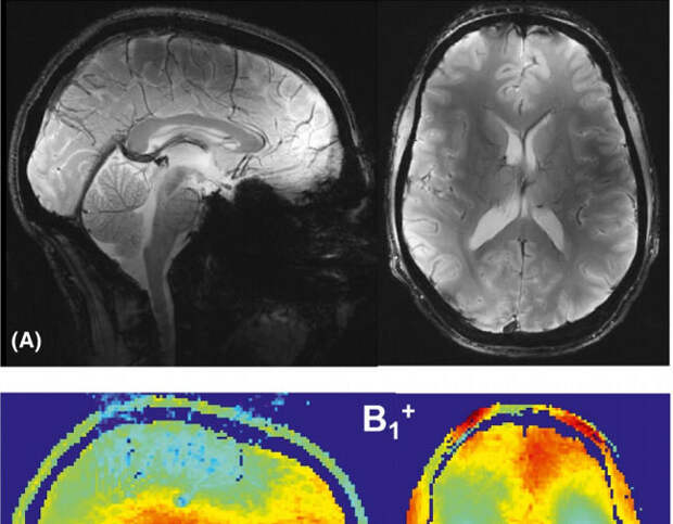
Ученые из ИТМО изменили геометрию диполей, расположив пассивные перпендикулярно по отношению к активным. Также для обеспечения сильной электрической связи между диполями физики переместили пассивный элемент в конец решетки. Прежде чем приступить к созданию новой антенной решетки, исследователи выполнили моделирование, которое позволило оптимизировать структуру. Ее эффективность была протестирована математически и с помощью компьютерной симуляции. Кроме того, физики провели эксперимент, сделав МРТ головного мозга взрослого мужчины. Проверка показала, что подобное расположение диполей решает проблему, связанную с однородностью поля, и связи между активными диполями не появляется.
Свежие комментарии