
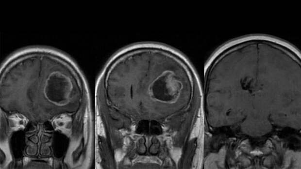
Ученые Дальневосточного федерального университета (ДВФУ) и дальневосточного отделения РАН разработали инновационный подход диагностики опухолей головного мозга на атомно-силовом микроскопе (АСМ). Об этом "Газете.Ru" рассказали в пресс-службе программы Минобрнауки "Приоритет 2030".
С его помощью специалисты могут одновременно изучать строение и механические свойства опухоли за 40 минут, классифицировать ее тип и агрессивность, что необходимо для срочной диагностики.
По словам ученых, такой подход открыт впервые в мире."Провести биопсию опухоли мозга без хирургического вмешательства невозможно, однако ее результаты могут быть критически важны для определения дальнейшего лечения. Наш метод позволяет провести диагностику за 40 минут во время операции по взятию материала для биопсии, в то время как классический метод требует две недели. Это позволяет принять решение по ее удалению уже во время первой операции, чтобы не затягивать процесс, если опухоль прогрессирует", – рассказал "Газете.Ru" сотрудник Лаборатории биомедицинских клеточных технологий ДВФУ Владислав Фарниев.
АСМ — прибор, который относится к классу сканирующих зондовых микроскопов. Поверхность исследуемого материала "прощупывается" с помощью небольших зондов, что позволяет не только получить трехмерное изображение объекта, но и исследовать свойства поверхности: упругость, жесткость, адгезию (липкость) и так далее.
Анализ опухоли на АСМ требует наличия ровной поверхности ткани. Однако ткань, взятая у пациента во время биопсии, как правило, малого размера и имеет неправильную форму. Чтобы решить эту проблему, ученые ДВФУ поместили ее в поддерживающий матрикс — форму с веществом из агара и коллагена, которое помогает оставаться ткани в "расправленном" состоянии.
"Мы взяли несколько острых оригинальных зондов и с помощью фемтосекундного лазера, который позволяет крайне точно и аккуратно воздействовать на поверхность, постепенно увеличивали радиус кривизны острия. Таким образом мы установили, что оптимальный радиус — 200 нанометров. В итоге были найдены два решения — поддерживающий матрикс и оптимизированный зонд АСМ, которые позволяют сделать настоящий прорыв в исследовании живой ткани опухолей головного мозга", — объяснил Фарниев.
Ранее "Газета.Ru" рассказывала, почему раковые опухоли растут быстрее у работающих по ночам.
Свежие комментарии