
Силиконовые импланты груди спасли жизнь женщины из Канады, сообщают хирурги одной из местных клиник. Необычный случай они описали в статье в журнале Plastic Surgery Case Studies.
30-летняя канадка шла по улице в Торонто, когда внезапно ощутила жар и боль в груди. Увидев у себя кровь, она бросилась в ближайшую больницу, где врачи диагностировали огнестрельное ранение и перевезли пациентку в соответствующее отделение.
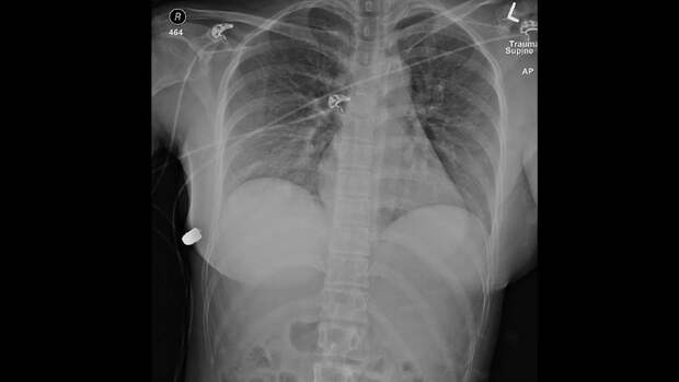
Пуля застряла в нижней части грудной клетки, справа, под грудью. Она прошла через силиконовый имплант левой груди, перевернула правый вверх ногами и сломала правое ребро.
Удалив импланты и очистив рану, врачи на всякий случай назначили пациентке антибиотики. Она достаточно быстро восстановилась, не столкнувшись ни с какими осложнениями.
Врачи отмечают, что без имплантов ситуация была бы гораздо хуже - учитывая траекторию пули, она могла бы попасть в сердце и женщина бы погибла на месте.
Это не первый такой случай, описанный в медицинской литературе, отмечают авторы. Они нашли описания как минимум четырех подобных происшествий, когда грудные импланты замедляли пулю, тем самым спасая жизнь.
Они даже проверили эффективность имплантов в лаборатории и выяснили, что при определенных условиях они действительно способны повлиять на движение пули, замедляя ее или меняя траекторию.
Пациентке врачи рекомендовали не вставлять новые импланты по крайней мере в ближайшие полгода. Кто в нее стрелял, выяснить не удалось - полиция не смогла обнаружить следов преступника.
Свежие комментарии