
Ученые из медицинского центра имени Хаима Шибы в Израиле выяснили, что Оземпик и другие препараты-агонисты рецепторов GLP-1 не повышают риск развития рака поджелудочной железы у пациентов с сахарным диабетом. Результаты исследования опубликованы в JAMA (Journal of the American Medical Association) Pharmacy and Clinical Pharmacology.
Оземпик относится к классу лекарственных средств, которые снижают уровень сахара в крови и потребление энергии из пищи путем активации рецептора GLP-1 (глюкагоноподобного пептида-1). Он имитирует действие гормона, который вырабатывается организмом при попадании пищи в желудок и помогает поджелудочной железе вырабатывать инсулин при высоком уровне глюкозы.
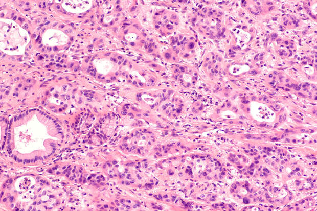
В связи с увеличивающейся частотой использования таких препаратов растет обеспокоенность по поводу их возможных побочных эффектов. Некоторые исследования 2010-х годов показали, что агонисты рецептора GLP-1 могут повышать риск развития рака поджелудочной железы.
Израильским ученым удалось выяснить, что у пациентов с сахарным диабетом второго типа, принимающих агонисты рецептора GLP-1, риск развития рака поджелудочной железы не выше, чем у тех, кто использует только инсулин. Такие результаты были получены в ходе исследования с участием 543595 человек с диабетом и избыточным весом.
Сначала ученые собрали информацию о состоянии здоровья испытуемых, а затем приступили к наблюдению за ними. За 9 лет у 1665 человек развился рак поджелудочной железы. При этом заболеваемость при инсулинотерапии и применении агонистов рецепторов GLP-1 была сходной.
Отмечается, что агонисты рецептора GLP-1 обладают рядом преимуществ по сравнению с инсулином. У пациентов с сахарным диабетом второго типа такие препараты могут эффективно поддерживать здоровый вес и кровяное давление, а также снижать риск гипогликемии, состояния, при котором уровень сахара в крови падает ниже нормальных значений.
Свежие комментарии